Een vrouw met buikpijn en een zwelling in de lies

Gepubliceerd:

1511 deelnemers

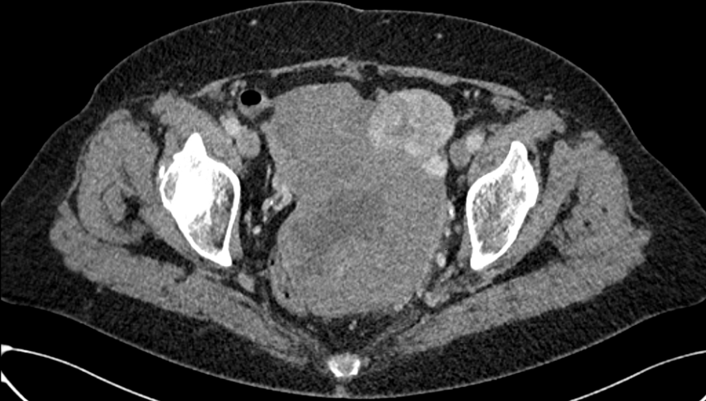
CT van het abdomen.

Een 71-jarige vrouw heeft pijn in de onderbuik en sinds kort voelt zij een zwelling in de linker lies. Soms heeft ze hevige mictieaandrang, maar de mictie komt moeizaam op gang. De CEA-waarde is laag, die van CA-125 licht verhoogd.

Wat is er aan de hand?

Antwoord