Een vrouw met acuut ontstane flankpijn

Gepubliceerd:

262 deelnemers

acuut ontstane flankpijn

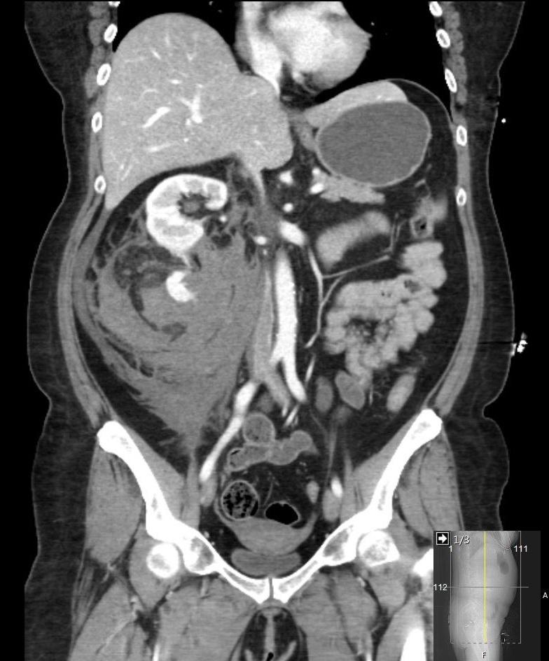
Een 55-jarige vrouw komt op de SEH vanwege acuut ontstane pijn in de rechter flank en een neiging tot flauwvallen. Bij lichamelijk onderzoek is zij bleek en hemodynamisch instabiel, en is in de rechter flank een zwelling voelbaar. Zij geeft daarbij slagpijn in de rechter nierloge aan. Welke afwijking ziet u op de CT-scan van het abdomen?

Wat is uw diagnose?
Antwoord