Een prostaat met palpabele nodus

Gepubliceerd:

347 deelnemers

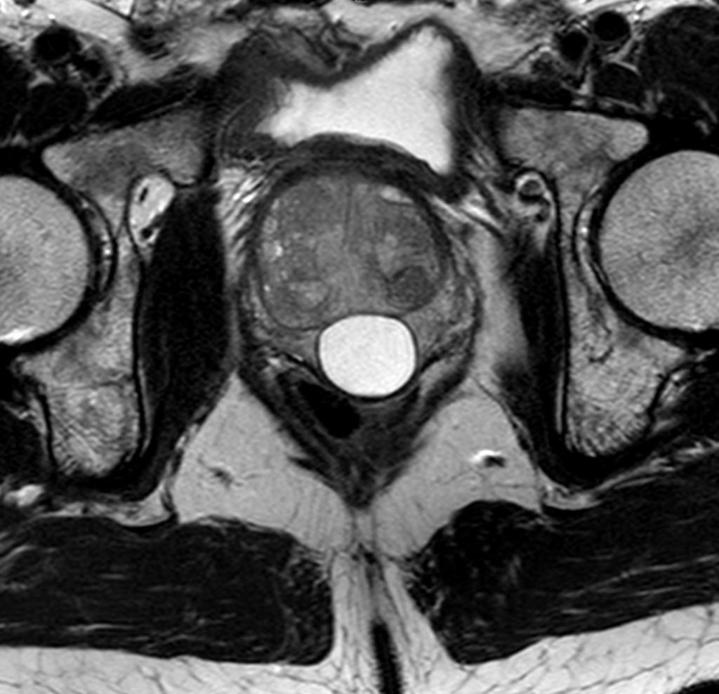
Bij een 64-jarige man met mictieklachten (‘lower urinary tract symptoms’, LUTS) wordt bij rectaal toucher een caudaal gelegen, gladde nodus gevoeld in de mediaanlijn van de prostaat. Uroflowmetrie, bepaling van het urineresidu en de PSA-waarde laten geen afwijkingen zien, MRI van de prostaat echter wel. Wat is uw diagnose?

Wat is uw diagnose?
Antwoord