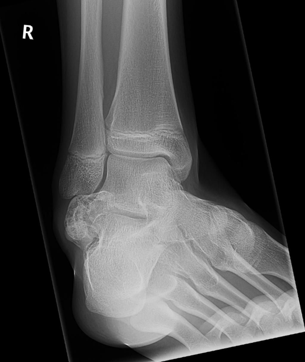
Gepubliceerd: Week 45 - 2019 211 deelnemers Een 15-jarige jongen komt op de polikliniek Orthopedie vanwege een pijnloze, langzaam groeiende zwelling van de dorsolaterale zijde van zijn rechter enkel. Wat is de diagnose? Wat is uw diagnose? Antwoord ziekte van Trevor os trigonum geossificeerde synoviale chondromatose chondrosarcoom Antwoord controleren