Een pijnlijke elleboog

Gepubliceerd:

189 deelnemers

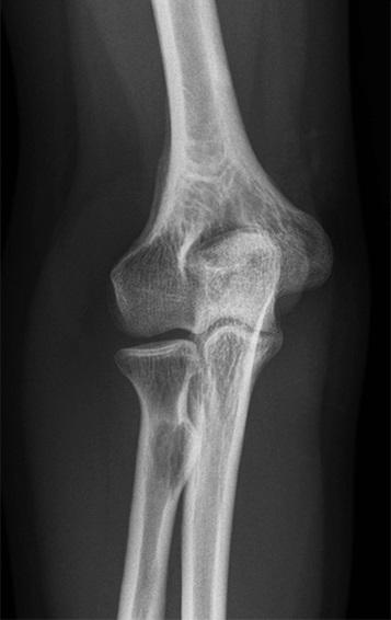
Een 27-jarige vrouw komt naar de SEH vanwege een pijnlijke rechter elleboog na een val met de racefiets. Bij lichamelijk onderzoek zien wij een laceratie aan de posterolaterale zijde van de elleboog en is het olecranon drukpijnlijk.

Wat is uw diagnose?
Antwoord