Een neonaat met een afwijkende stand van de onderarm

Gepubliceerd:

147 deelnemers

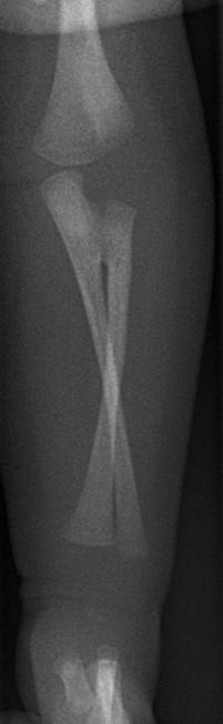
Een aterm meisje dat via een sectio caesarea geboren was, lag opgenomen in verband met een hyperbilirubinemie. Op grond van uiterlijke kenmerken was er een sterk vermoeden van het syndroom van Down, dat door chromosomenonderzoek werd bevestigd. Daarnaast viel op dat zij haar linker arm beduidend minder gebruikte en dat de stand van de linker onderarm afweek ten opzichte van rechts.
Wat is uw diagnose?
Antwoord