Een man met een zwelling van het scrotum

Gepubliceerd:

136 deelnemers

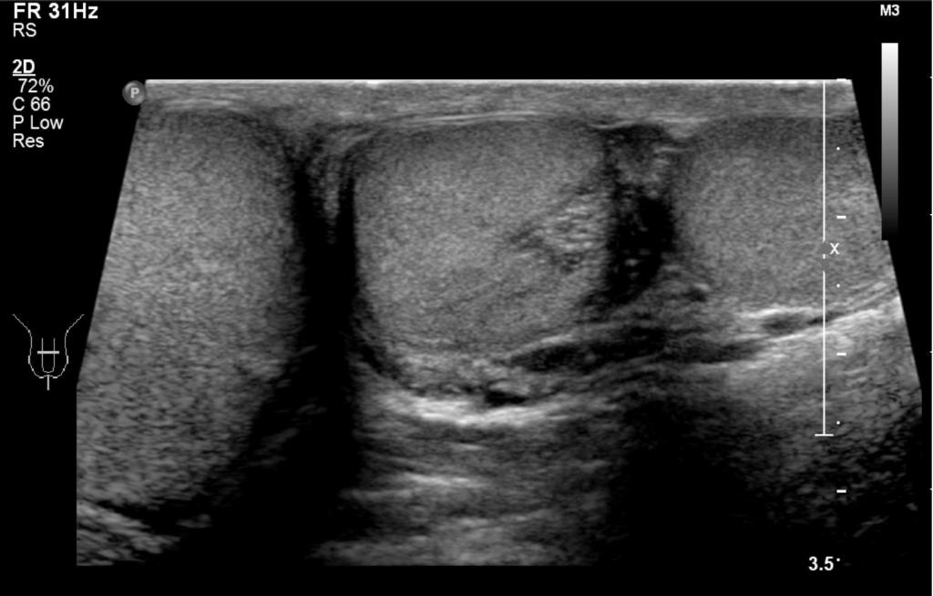
Een 32-jarige man werd naar de polikliniek Urologie verwezen vanwege een zwelling in het linker hemiscrotum. De zwelling was sinds de jeugd aanwezig, constant van omvang en niet drukpijnlijk. Patiënt had 2 kinderen. Lichamelijk onderzoek toonde links in het scrotum 2 ovaalvormige, gladde, vast-elastische zwellingen. Bij palpatie was er 1 ductus deferens voelbaar. Rechtszijdig was een niet-afwijkende testis aanwezig. Er werd echografisch onderzoek gedaan (klik op de afbeelding voor volledige weergave).
Wat is uw diagnose?
Antwoord