Een man met consolidatie van de rechter long

Gepubliceerd:

307 deelnemers

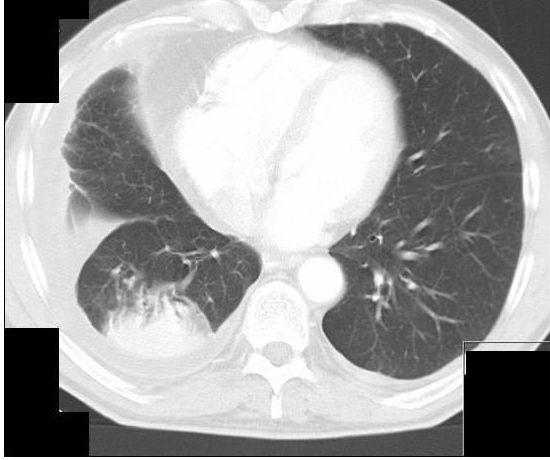
Een 67-jarige man meldde zich op de Spoedeisende Hulp vanwege acuut ontstane vertigo. De diagnose luidde ‘perifere vestibulaire aandoening’, nadat cerebellaire etiologie was uitgesloten middels CT. De routinematig aangevraagde röntgenfoto van de thorax toonde basaal in de rechter long consolidatie en hydrothorax e causa ignota. Patiënt had geen pulmonale klachten, maar wel ongeveer 20 pakjaren gerookt en 4 jaar asbestcontact gehad. Een CT-thorax liet een verloop van bronchovasculaire structuren zien in de rechter long tussen de perifere afwijking en de hilus: een ‘kometenstaart’.

Wat is uw diagnose?
Antwoord