Een man met acuut krachtsverlies van beide benen

Gepubliceerd:

159 deelnemers

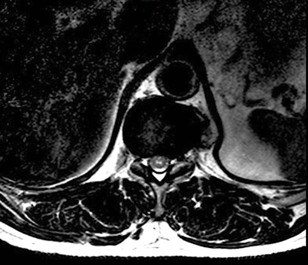
Een 61-jarige man met meerdere cardiovasculaire risicofactoren komt naar de SEH wegens acute rugpijn, gevolgd door een in uren progressief krachtverlies van beide benen, en darm- en blaasledigingsstoornissen. Bij onderzoek is de vitale sensibiliteit afwezig vanaf niveau T11, maar zijn de propriocepsis en vibratiezin gespaard. MRI van de thoracolumbale wervelkolom verricht na 24 h laat een langgerekte hyperintense T2-afwijking zien aan de voorzijde van het myelum op niveau T10-12. Een axiale opname toont dit beeld.

Wat is uw diagnose?
Antwoord