Een jongen met witte afwijkingen op het mondslijmvlies

Gepubliceerd:

480 deelnemers

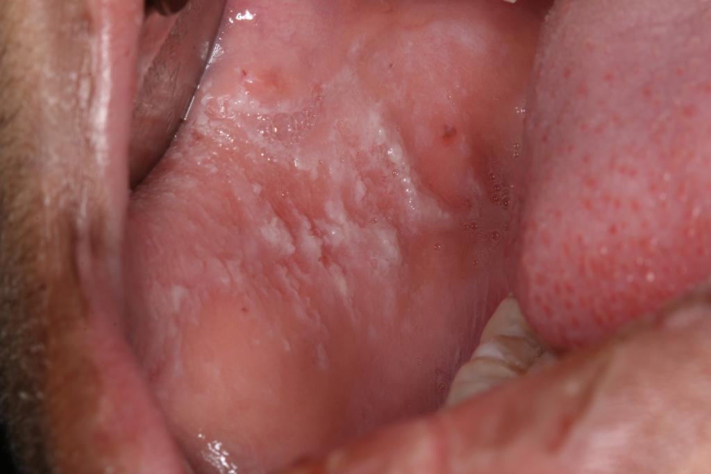
Een 14-jarige jongen had al 2 jaar lang witte plekken op zijn wangslijmvlies. De afwijkingen bloedden niet, waren niet afstrijkbaar en reageerden vrijwel niet op lokale glucocorticoïden.

Wat is de diagnose?
Antwoord