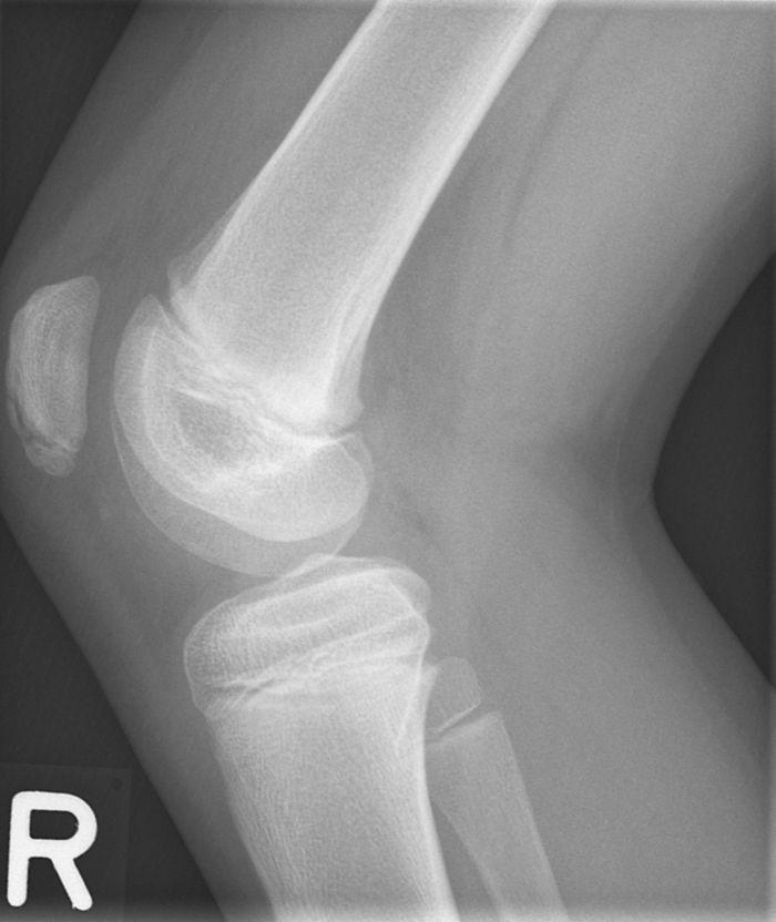
Een jonge voetballer met pijnlijke patella

Gepubliceerd:

177 deelnemers

Een 12-jarige jongen presenteerde zich met pijnklachten van de rechter patella na elke voetbalwedstrijd. Anamnestisch was er geen evident trauma. Bij lichamelijk onderzoek was er sprake van een neutrale beenas, symmetrische kniecontouren, geen hydrops, een maximale kniefunctie met niet-afwijkende stabiliteit. Alleen rechts was er lokale drukpijn van de patella-onderpool.
Wat is uw diagnose?
Antwoord