Een getatoeëerde vrouw met salpingitis

Gepubliceerd:

178 deelnemers

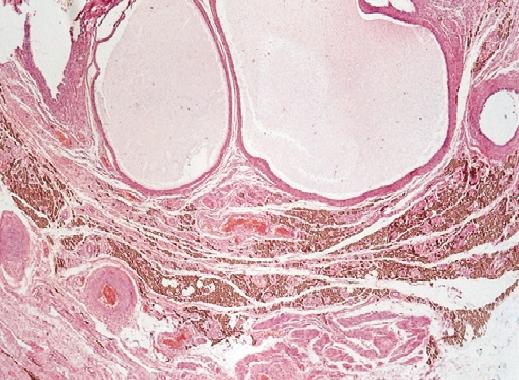
Een 61-jarige vrouw onderging wegens een adenocarcinoom van het endometrium een abdominale extirpatie van de uterus en de beide adnexa. Patiënte was overlevende van het concentratiekamp Auschwitz en had een getatoeëerd nummer op haar onderarm. De patholoog stelde een goed gedifferentieerd carcinoom vast dat nauwelijks infiltreerde in de spierlaag. Bij het microscopisch onderzoek van de tuba werd een merkwaardige bevinding gedaan: resten van een oude salpingitis, herkenbaar door een verkleving van de slijmvliesplooien. Onder de papillaire bekleding van trilhaarepitheel bevond zich in de lamina propria een uitgebreide ophoping van velden macrofagen beladen met een lichtbruin, opaliserend, maar niet-dubbelbrekend, pigment (klik op de afbeelding voor volledige weergave).
Wat is uw diagnose?
Antwoord