Een fluctuerende zwelling bij hoesten

Gepubliceerd:

1346 deelnemers

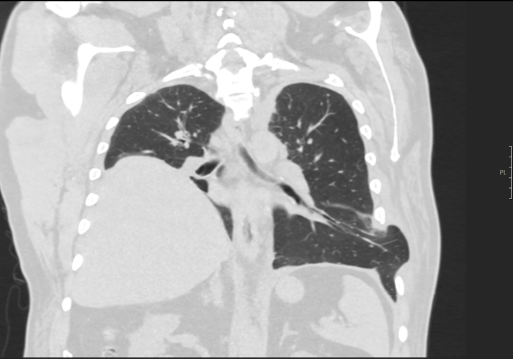
Röntgenbeeld

Een 66-jarige man komt bij de huisarts met hoestklachten en een hematoom in de linker flank. De voorgeschiedenis vermeldt onder andere astma bronchiale en een hoogstand van de rechter diafragmahelft. Lichamelijk onderzoek laat een zwelling zien ter hoogte de linker scapula. Deze zwelling fluctueert in grootte tijdens het hoesten. Er wordt een CT-scan gemaakt. 

Wat is de diagnose?

Antwoord