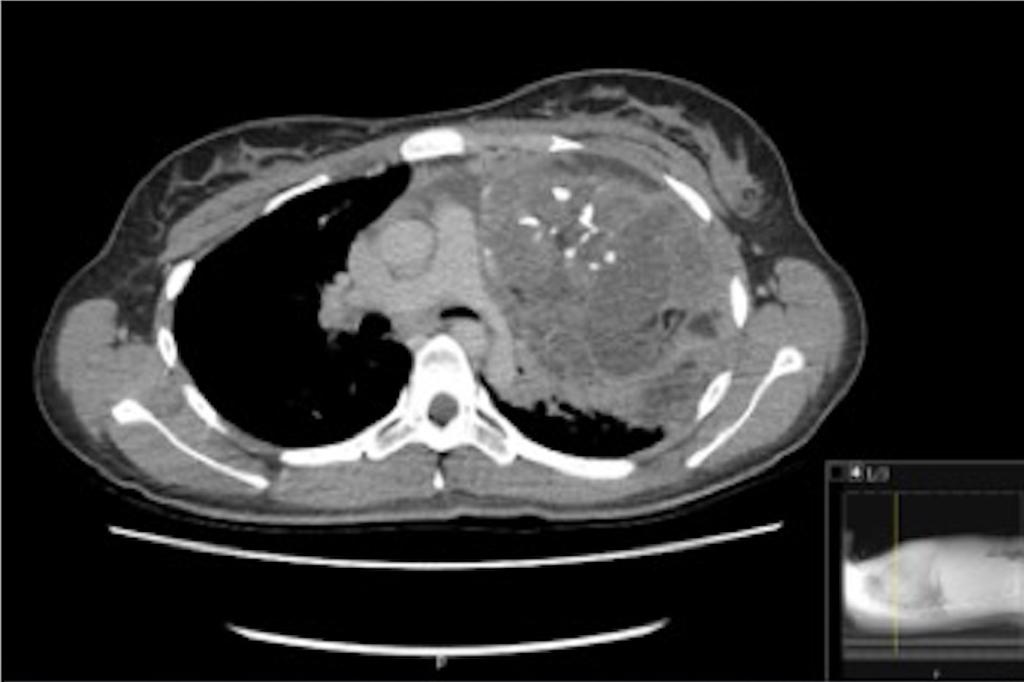
Gepubliceerd: Week 11 - 2020 204 deelnemers Een 19-jarige vrouw bezoekt de SEH vanwege een productieve hoest en een pijnlijke linker thoraxhelft. Bij auscultatie van de linker long is verscherpt ademgeruis te horen. Wat is er aan de hand? Wat is uw diagnose? Antwoord maligne lymfoom ectopisch schildklierweefsel thymoom matuur teratoom Antwoord controleren